Lava Kronen und Brücken aus Zirkonoxid (3M ESPE)
Die perfekte Kombination von Ästhetik und Stabilität
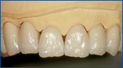
Zirkonoxid verbindet natürliche Ästhetik mit hoher Belastbarkeit. Lava Kronen und Brücken haben ein natürlich ästhetisches, transluzentes Gerüst aus hochstabilen Zirkonoxid. Das CAD/CAM-gefertigte Gerüst wird individuell der Zahnfarbe des Patienten angepasst und hat die gleiche Lichtdurchlässigkeit wie menschliches Dentin. Mit der systemeigenen Verblendkeramik Lava Ceram lassen sich hervorragende Ergebnisse mit einem völlig natürlichen Übergang von Verblendung, Gerüst und Präparationsgrenze erreichen.
Indikation im gesamten Front- und Seitenzahnbereich durch die extrem hohe Festigkeit und Langzeitstabilität des Lava Zirkonoxidgerüstes kann Lava Zahnersatz im Front- und Seitenzahnbereich eingesetzt werden. 3M ESPE gibt 15 Jahre Garantie auf alle Lava-Zirkonoxid Gerüste die Bruchfestigkeit beträgt ein Mehrfaches herkömmlicher Vollkeramiken und reicht weit über das relevante Belastungsspektrum der Mundhöhle hinaus, so dass auch sehr filigran gearbeitet werden kann.Klinisch nachgewiesene, exzellente Randpassung.
Passgenau auf Ihre Behandlungsbedürfnisse abgestimmt. Lava fügt sich in Ihre bewährten Behandlungsabläufe ein, wie der vertrauten Hohlkehl- oder Stufenpräparation, Präzisionsabformung und Modellherstellung bis zur einfachen Befestigung der verblendeten Kronen und Brücken mit konventionellen Glasionomerzementen oder selbstadhäsiven, universalen Composite-Zementen.
Quelle: 3M ESPE AG Seefeld/Deutschland